El número de contagios por tuberculosis muestra un preocupante incremento. Un informe, publicado recientemente por la Secretaría de Salud de Risaralda revela que ya se han confirmado 112 casos mediante pruebas de laboratorio.
La cifra encendió las alarmas, debido a que esta enfermedad es considerada altamente contagiosa y se transmite a través del aire. Las personas con la infección pueden contagiar a otros al hablar, toser o estornudar, situación que la convierte en un problema de salud pública.
Los municipios de Pereira y Dosquebradas encabezan la lista de los más afectados, con 66 y 19 casos respectivamente.
Alberto Medina Córdoba, referente departamental del programa de tuberculosis, señaló que la identificación temprana de la enfermedad es clave para frenar su avance y evitar la aparición de formas más resistentes a los tratamientos.
Los síntomas más comunes de la tuberculosis incluyen tos persistente por más de 15 días, fiebre prolongada, sudoración nocturna, pérdida de peso y expectoración con mucosa o, en algunos casos, con sangre.
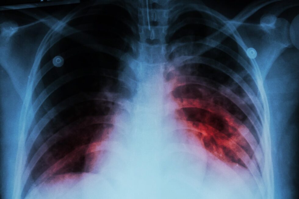
El diagnóstico se confirma a través de pruebas moleculares, cultivo de esputo y radiografías de tórax, herramientas esenciales para detectar la enfermedad en sus primeras etapas y evitar complicaciones graves.
La tuberculosis es prevenible, tratable y curable. Su tratamiento consiste en la administración de antibióticos durante un periodo de seis meses, el cual debe seguirse rigurosamente para evitar la resistencia a los medicamentos y recaídas en los pacientes.
Las autoridades de salud instan a la población a acudir a los centros médicos ante cualquier síntoma sospechoso y recuerdan que el tratamiento es gratuito en el sistema de salud pública.
Además, recomiendan fortalecer medidas preventivas como la ventilación de espacios cerrados y el uso de mascarillas en casos de sospecha de contagio.
